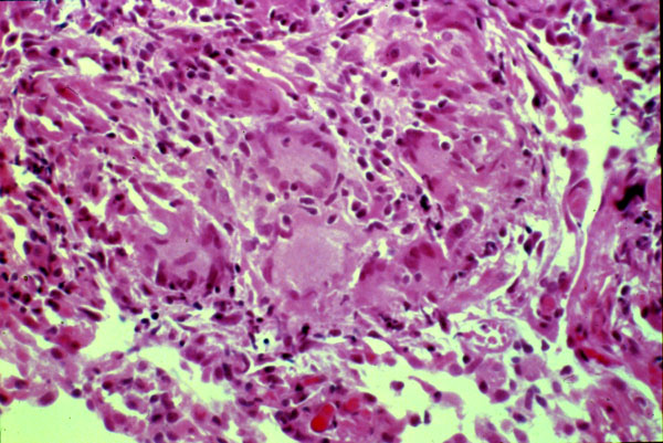
Hypersensitivity pneumonia
Click picture to enlarge. Close window to return
This high power shows an interstitial non-caseating
granuloma
. When granulomas are prominant, it may be difficult to distinguish this from sarcoid.