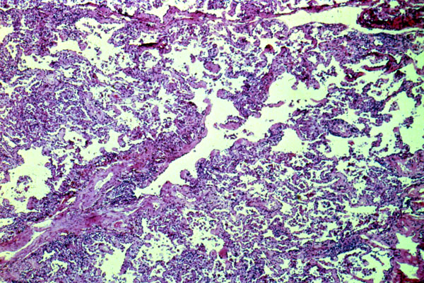
Hypersensitivity pneumonia
Click picture to enlarge. Close window to return

Hypersensitivity pneumonitis is an immunologic reaction to inhaled antigens. This slide shows a chronic interstitial pneumonitis with many lymphocytes with a peribronchiolar accentuation.