MI, gross
Click picture to enlarge. Close window to return
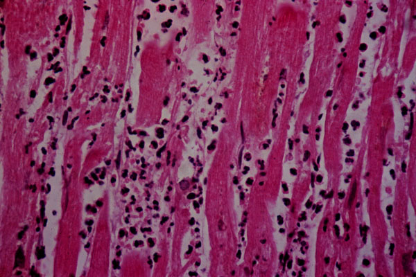
Acute
myocardial infarct
, histology. This 3-4 day old infarct shows
necrosis
of myocardial cells and is infiltrated with
PMN
leukocytes.