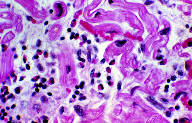
Idiopathic giant cell myocarditis, micro
Click picture to enlarge. Close window to return
Idiopathic
giant cell
myocarditis
. The myocardium contains mononuclear cells and multinucleated giant cell.