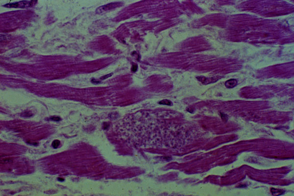
Chagas' disease, micro
Click picture to enlarge. Close window to return

Myocarditis caused by Trypanosoma cruzi. The parasites can be seen in the cytoplasm of a swollen myocardial cell.