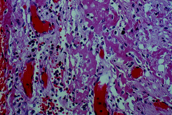
Chronic pericarditis, micro
Click picture to enlarge. Close window to return
Chronic
fibrinous
pericarditis
, histology. The fibrinous
exudate
is undergoing organization by
granulation tissue
that contains prominent blood vessels filled with blood.