Rheumatic endocarditis, chronic, photomicrograph
Click picture to enlarge. Close window to return
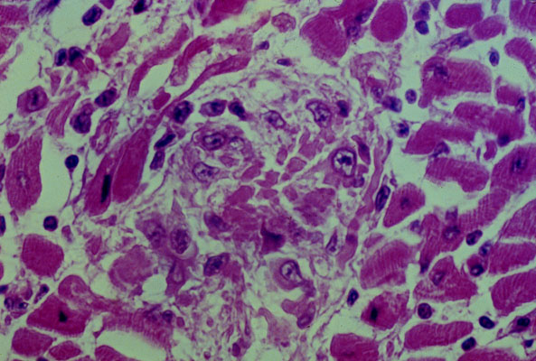
Rheumatic
myocarditis
, histology. The myocardium contains an
Aschoff body
compose of histiocytes around an area of
fibrinous
necrosis
.