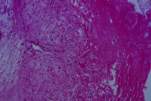
Rheumatic endocarditis, histology
Click picture to enlarge. Close window to return
Rheumatic
endocarditis
, chronic, histology. The valve is deformed and thickened by fibrotic
granulation tissue
underlying the
thrombus
chronic.