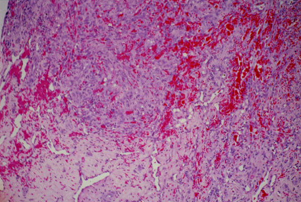
Kaposi sarcoma, histology
Click picture to enlarge. Close window to return

The lesion consists of elongated cells which line vascular slit-like spaces and form solid nests. In between these cells, there are numerous extravasated red blood cells. Towards the periphery, the vascular spaces are more dilated.