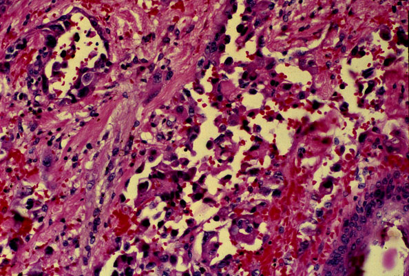
Angiosarcoma
Click picture to enlarge. Close window to return

The vascular spaces of this malignant tumor contain blood. These spaces are lined with markedly atypical cells which focally protrude into the vascular lumen.