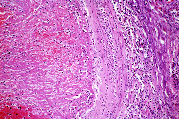
Thrombophlebitis
Click picture to enlarge. Close window to return
The lumen of this vein contains a
thrombus
. The thrombus and the wall of the vein are infiltrated by polymorphonuclear leukocytes (phlebitis).