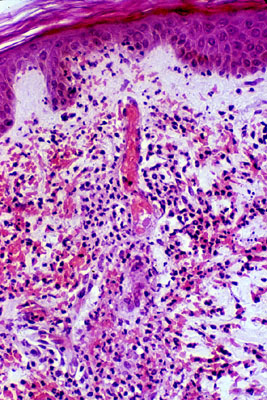
Hypersensitivity vasculitis of the skin
Click picture to enlarge. Close window to return

The dermis contains prominent infiltrates of leukocytes, mainly neutrophils, which are centered around small blood vessels. Other features are extravasation of red cells and nuclear dust (fragments of nuclei).