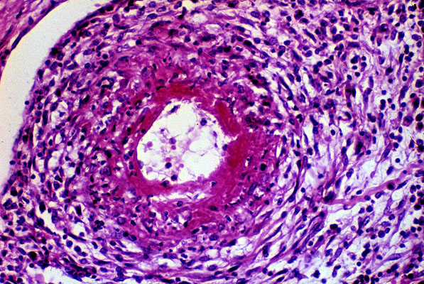
Periarteritis nodosa
Click picture to enlarge. Close window to return
The inner layers of this small artery show fibrinoid
necrosis
. The remainder of the vessel wall is infiltrated with inflammatory cells, predominantly neutrophils.