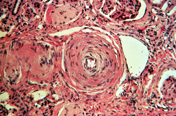
Malignant hypertension
Click picture to enlarge. Close window to return

The renal arteriole shows concentric layering of the smooth muscle cells ("onion skin like appearance").