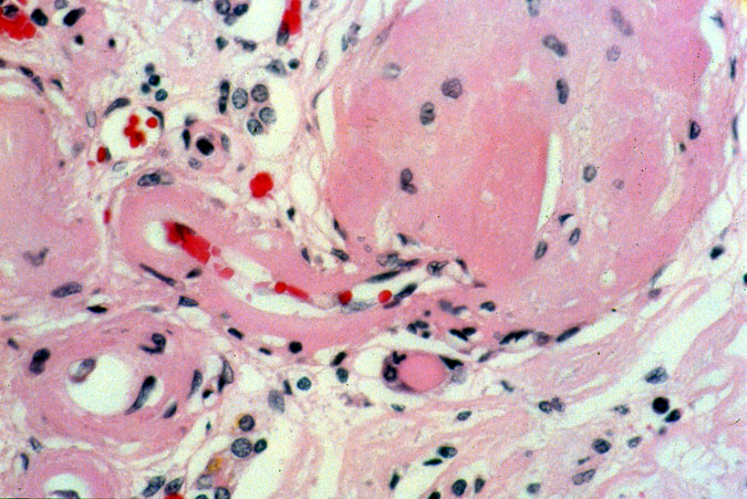
Benign arteriolosclerosis
Click picture to enlarge. Close window to return

This section from the kidney of a person with a long history of hypertension shows hyaline (pink, homogenous) changes of arterioles. The glomerulus associated with the hyalinized arteriole is totally scarred and fibrotic.