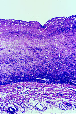
Syphilitic aortitis, histology
Click picture to enlarge. Close window to return

In this slide, stained with a connective tissues stain, one can appreciate the loss of elastic fibers in the middle portion of the media evidenced as clearing and an area of scarring in the subadventitial part of the media (dark blue stained tissue). The intima has an irregular surface and shows a central indentation.