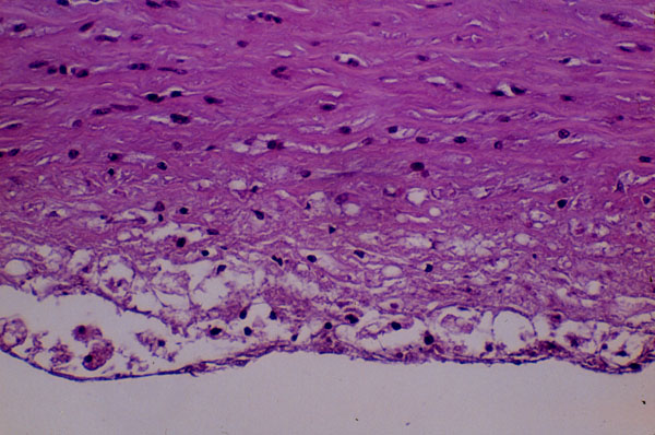
Fatty streak of the aorta, histology
Click picture to enlarge. Close window to return

Lipid containing cells (probably macrophages) are present in the intima of the aorta.