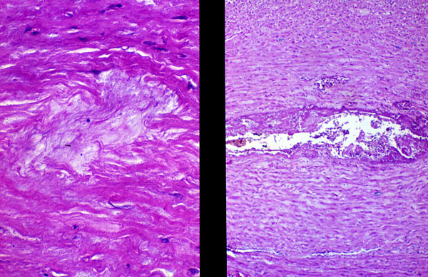
Cystic medial necrosis of the aorta, histology
Click picture to enlarge. Close window to return

The media shows a slit (low power) which corresponds to the separation of the layers due to mucoid degeneration of the connective tissue (seen at high power). There is focal loss of elastic and muscle fibers in the media.