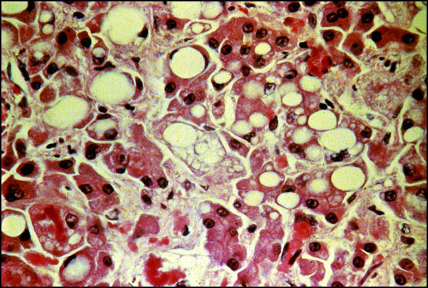
Fatty change in the liver, microscopic
Click picture to enlarge. Close window to return

The liver cells contain clear vacuoles that displace the liver cell nuclei to the periphery. These vacuoles contain fat which was extracted from the tissue during processing with solvents such as alcohol and xylene. Some cells contain in their cytoplasm eosinophilic aggregates ("Mallory hyaline"). The normal architecture of the liver has not been preserved. All these finds taken together indicate that this is not a normal liver. Actually, the slide was prepared from the liver of a chronic alcoholic who had liver cirrhosis.