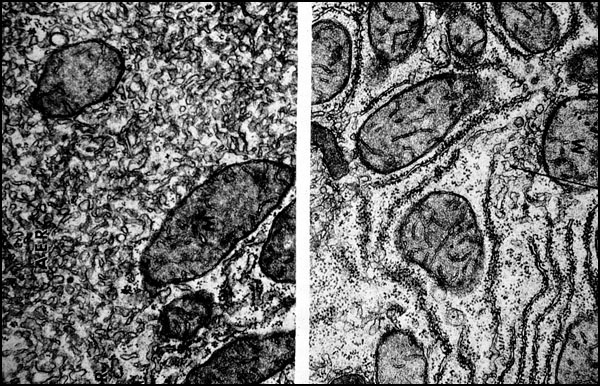
Proliferation of smooth endoplasmic reticulum
Click picture to enlarge. Close window to return

Proliferation of smooth endoplasmic reticulum. In comparison to the normal cell, the one on the right side contains abundant vesicles of smooth endoplasmic reticulum. This change can be induced by long term drug treatment and is associated with an increased activity of catabolic, microsomal enzymes.