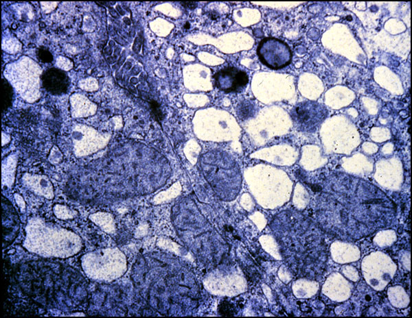
Vacuolar change
Click picture to enlarge. Close window to return

This EM photograph shows dilatation of the cisternae of rough endoplasmic reticulum (RER). There are no ribosomes attached to the RER which is indicative of "degranulation of RER". The dilated cisternae contain water which cannot be seen since it does not stain with osmium (the "EM stain").