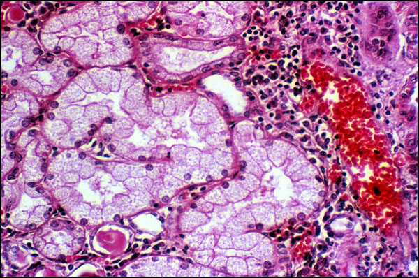
Vacuolar (hydropic) change
Click picture to enlarge. Close window to return

The cells lining the tubules of the kidney appear vacuolated. The cell membranes and their nuclei appear preserved, indicating that this is a reversible change.