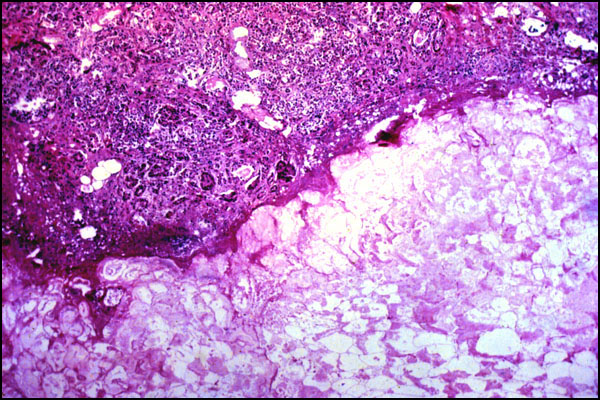
Fat necrosis
Click picture to enlarge. Close window to return

Histologically, the foci of fat necrosis consists of fat cells that have lost their contours and appear bluish to an influx of calcium.