Apoptosis
Click picture to enlarge. Close window to return

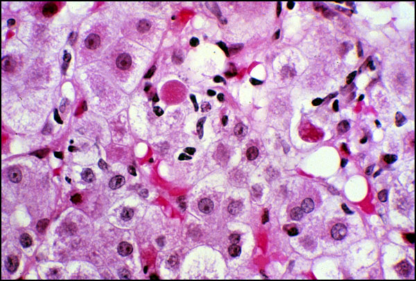
This slide from a liver biopsy of a patient suffering from viral hepatitis shows an acidophilic body amidst of smaller hepatocytes that have well preserved contours and vacuolated cytoplasm. Acidophilic bodies are an example of apoptosis, i.e., induced, often programmed individual cell death. Vacuolar change is reversible.