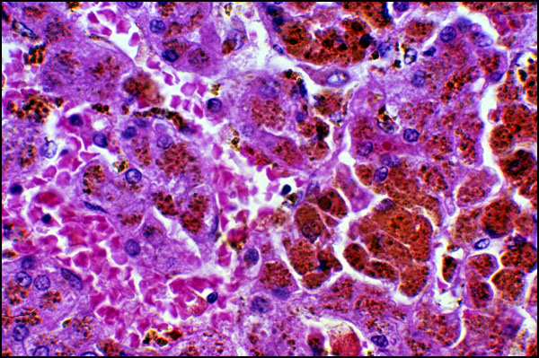
Hemosiderosis of liver
Click picture to enlarge. Close window to return

The liver cells and Kupffer cells contain abundant granular, brown pigment. The definitive diagnosis of hemosiderosis would necessitate special studies. Histochemically, hemosiderin reacts in a Prussian blue reaction which demonstrates ferric iron contained in these granules. Prussian blue reaction is useful for excluding other pigments that are also brown: lipofuscin and melanin.