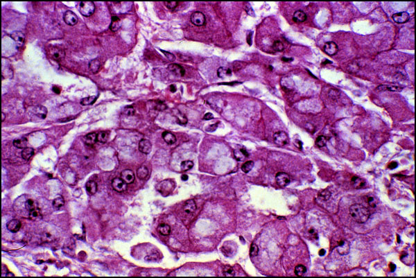
Glycogenosis, microscopic
Click picture to enlarge. Close window to return

The liver cells have clear cytoplasm. The definitive diagnosis of glycogen storage disease could be made only by showing that the clear cytoplasm contains glycogen and by demonstrating biochemically the underlying enzymatic genetic defect.