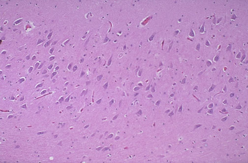
Normal hippocampus with neurons is seen at medium power.