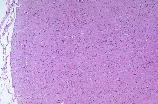
At low magnification, the cortex of the cerebrum is shown at the crest of a gyrus, with underlying white matter at the right and the meninges at the left.