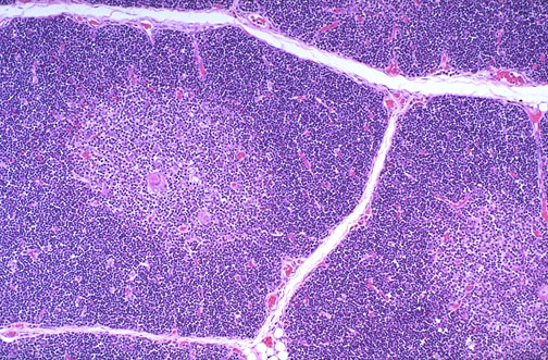
Normal thymus in an infant is seen at low power.