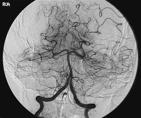
Identify the following arteries in the cerebral angiogram by clicking in the image below:

Vertebral Arteries - Basilar Artery

You have clicked on