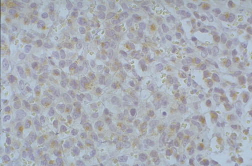
This large cell lymphoma demonstrates positive immunoperoxidase staining with antibody to CD-30 (Ki-11). CD-30 is a marker for Hodgkin's and large cell non-Hodgkin's lymphomas, and its presence implies a worse prognosis.