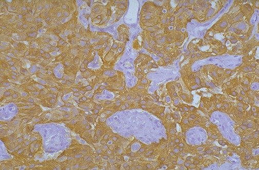
This ependymoma has positive staining for glial fibrillary acidic protein (GFAP) indicating it is of central nervous system origin.