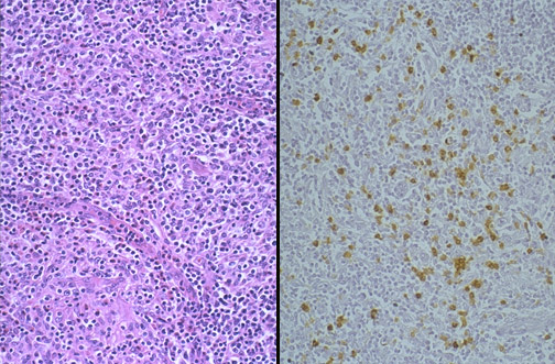
| This is Hodgkin's disease, mixed cellularity type, with a mixture of reactive cells seen at the left. It is difficult to appreciate the number of Reed-Sternberg cells and variants until an immunoperoxidase stain with antibody to CD-15 is performed, as shown at the right. |