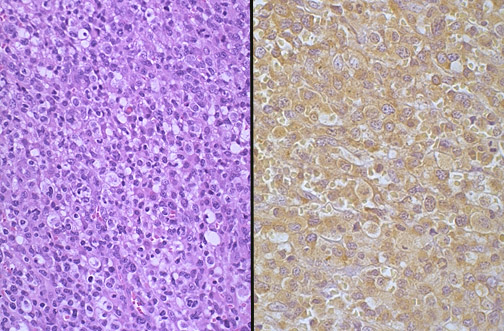
This is a malignant lymphoma, large cell type, which is determined to be of T-cell origin based upon immunoperoxidase staining for CD-3 as seen at the right.