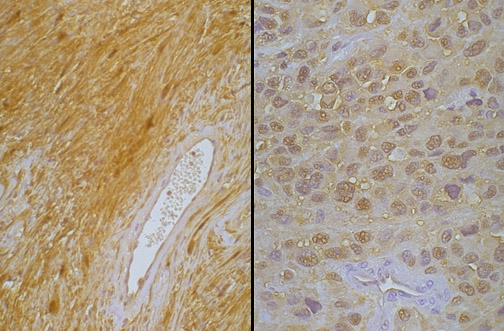
The benign schwannoma on the left is markedly positive with S-100 staining, while the less differentiated malignant schwannoma on the right demonstrates less intense staining.