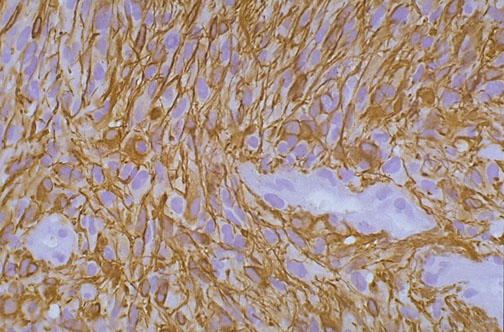
Cells of a glioblastoma multiforme of brain, a malignant glial neoplasm are positive with the glial fibrillary acidic protein (GFAP) stain, which highlights the cell processes.