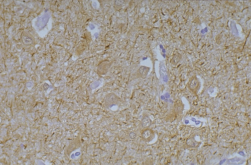
This section of normal cerebral white matter shows positivity with the neurofilament stain to demonstrate processes.