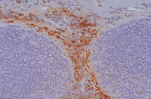
This normal lymph node has mainly interfolliclular cells that are positive for myeloperoxidase.