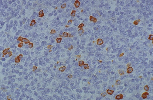
This normal lymph node has B-cells, mainly in the follicles, that are positive for kappa light chains, and a similar pattern was seen with staining for lambda light chains, indicating it is a polyclonal pattern.